 
	
	
	Investigadoras de la U761 CIBERER que lidera la Dra. Isabel Varela-Nieto en el Instituto de Investigaciones Biomédicas "Alberto Sols" (IIBM) han participado en un trabajo con el que han estudiado los efectos asociados a la neuroinflamación y la autofagia que se producen durante el envejecimiento en la retina de ratones con deficiencia del gen Igf1. Sus resultados sugieren que la maquinaria autofágica podría ser una diana terapéutica en tratamientos oculares.
El IGF-1 es un péptido con funciones neuroprotectoras en el sistema nervioso central (SNC). Esta biomolécula también desempeña un papel importante en el crecimiento de las neuronas, así como en el mantenimiento de la plasticidad sináptica. De hecho, la resistencia al IGF-1 en el sistema nervioso central es la responsable de la pérdida de sus funciones neuroprotectoras en patologías tan importantes como Alzheimer y Parkinson.
En los últimos años se ha descubierto además que ratones deficientes en Igf1 –el gen que codifica IGF-1– presentan hipoacusia congénita severa (pérdida del sentido del oído). Más recientemente, un equipo de científicas de la U761 CIBERER, el CIBERDEM y el IIBM (centro mixto UAM-CSIC) identificó en estos ratones pérdida de visión progresiva asociada a la edad, acompañada de alteraciones estructurales en las primeras sinapsis de la retina.
Las investigadoras pusieron así de manifiesto que las enfermedades crónicas de la retina, entre las que se incluye la retinopatía diabética, presentan un componente común de neuroinflamación y neurodegeneración.
Ahora, un trabajo publicado en Disease Models & Mechanisms revela que estas mismas investigadoras han estudiado las posibles causas de las alteraciones visuales de los ratones deficientes en Igf1.
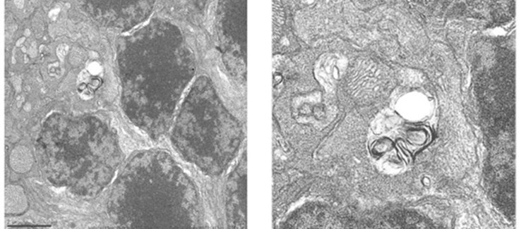
“Hemos encontrado que estos ratones presentan una inflamación crónica en la retina, con una importante activación de la microglía que se ve atenuada mediante la activación del flujo autofágico a los 6 meses de edad”, explica Ángela Martínez Valverde, coautora del trabajo e investigadora del IIBM y el CIBERDEM.
“Sin embargo, en ratones envejecidos de 12 meses de edad se produce un bloqueo de la autofagia que resulta en un aumento del número de autofagosomas en la retina. Este hecho, unido a otros procesos como la activación persistente de la microglía y del sistema inflamosoma, contribuye de manera importante a las alteraciones estructurales de la retina y a la pérdida de la función visual de los ratones deficientes en Igf1 durante el envejecimiento”, añade Isabel Varela-Nieto, también coautora y jefa de grupo de la U761 CIBERER.
De acuerdo con las expertas, este trabajo proporciona evidencias in vivo que apuntan a que la autofagia podría proteger frente a la inflamación crónica de la retina durante el envejecimiento, y sugiere que la maquinaria autofágica podría ser una diana terapéutica en tratamientos oculares.
Referencia bibliográfica:
Autophagy resolves early retinal inflammation in Igf1-deficient mice. Ana I. Arroba, Lourdes Rodríguez-de la Rosa, Silvia Murillo-Cuesta, Laura Vaquero-Villanueva, Juan M. Hurlé, Isabel Varela-Nieto, Ángela M. Valverde. Disease Models & Mechanisms. Doi: 10.1242/dmm.026344
Noticia original:
http://www.agenciasinc.es/Noticias/Nueva-diana-terapeutica-en-tratamientos-oculares