Ministerio de Ciencia e Innovación

Revelan un nuevo mecanismo molecular implicado en la reparación pancreática

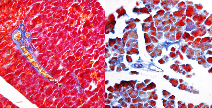
Comparación pancreático, sin y con la supresión del gen Wt1
Universidad de Málaga | jueves, 28 de marzo de 2019

Un nuevo estudio, en el que ha participado la investigadora Anabel Rojas, del grupo del CIBERDEM en el CABIMER (IP Franz Martín Bermudo) ha demostrado que la supresión del gen Wt1 provoca un deterioro del páncreas. Los expertos han evidenciado en ratones que, pocos días después de silenciar este gen, el tejido pancreático degenera, los acinos -productores de enzimas pancreáticas- pierden su adhesión y, además, se produce un edema masivo.

Asimismo, han comprobado que, tras un daño pancreático, el gen Wt1 se activa en las células denominadas estrelladas -un tipo especial de célula reparadora presente en páncreas e hígado-, que son las responsables de su reparación. “Sin la activación de Wt1 estas células no pueden cumplir su función”, afirma el profesor Muñoz-Chápuli, quien también señala el papel crucial que estas células desempeñan en la progresión del cáncer de páncreas, ya que se convierten en aliadas de las tumorales.

Así, los resultados de este estudio, liderado por la Universidad de Málaga, revelan que el gen Wt1 no solo es necesario para el mantenimiento normal del páncreas, sino también para su reparación tras un daño.

El gen supresor del Tumor de Wilms codifica una proteína que actúa como un regulador maestro de la función de muchos otros genes, por lo que, tal y como aseguran estos expertos, tiene mucha importancia en procesos de desarrollo embrionario de diversos órganos como los riñones, el bazo o el corazón. Igualmente, en los últimos años también se está constatando que esta relevancia funcional se extiende a la vida adulta.

Avanzar hacia nuevas funciones del gen Wt1 en el desarrollo cardiaco y en el corazón adulto, son los próximos pasos de este equipo de investigación.

Artículo de referencia

Laura Ariza, Anabel Rojas, Ramón Muñoz-Chápuli, Rita Carmona. The Wilms’ tumor suppressor gene regulates pancreas homeostasis and repair. PLOS Genetics.

https://doi.org/10.1371/journal.pgen.1007971