Noticias
     
     - 
		
			
			
				
				
			
		
		
CIBERER		    
 
 14/02/2017 La maquinaria autofágica podría ser una diana terapéutica en tratamientos oculares
- 
		
			
			
				
				
			
		
		
CIBERES		    
 
 14/02/2017 Más de 80 investigadores participaron de la primera reunión en Hipertensión Pulmonar
- 
		
			
			
				
				
			
		
		
CIBERBBN		    
 
 13/02/2017 Asparia Glycomics, la nueva Spin-off del CIC biomaGUNE
- 
		
			
			
				
				
			
		
		
CIBERESP		    
 
 13/02/2017 Alargar la lactancia favorece el desarrollo cognitivo del bebé y podría protegerle de rasgos autistas
- 
		
			
			
				
				
			
		
		
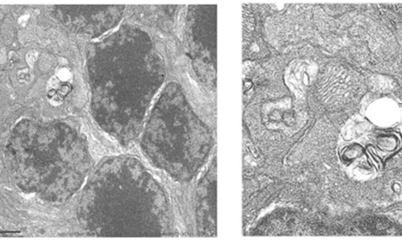
CIBERER		    
 
 10/02/2017 Generan modelos murinos con las principales características de la enfermedad de Niemann-Pick tipo C
- 
		
			
			
				
				
			
		
		
CIBERSAM		    
 
 09/02/2017 Más de 160 alumnos participan en el XIV Curso Intensivo de Introducción a la Investigación en Neurociencias
- 
		
			
			
				
				
			
		
		
CIBEROBN		    
 
 09/02/2017 Glucosa o fructosa: nuevo estudio sobre el impacto del azúcar en el metabolismo y la salud cardiovascular
- 
		
			
			
				
				
			
		
		
CIBERES		    
 
 09/02/2017 División de Genómica, nueva acción del ITER liderada por Carlos Flores
- 
		
			
			
				
				
			
		
		
CIBERDEM		    
 
 09/02/2017 Alteraciones en la dinámica mitocondrial podrían estar asociadas con el envejecimiento y la diabetes
- 
		
			
			
				
				
			
		
		
CIBERER		    
 
 09/02/2017 La Metformina, designada medicamento huérfano para la enfermedad de Lafora
- 
		
			
			
				
				
			
		
		
CIBERCV		    
 
 09/02/2017 La lisil oxidasa es una nueva fuente de estrés oxidativo asociado a la hipertensión
- 
		
			
			
				
				
			
		
		
CIBERER		    
 
 08/02/2017 La asociación de pacientes DEBRA Piel de Mariposa financiará la investigación y el diagnóstico genético en esta enfermedad
- 
		
			
			
				
				
			
		
		
CIBERSAM		    
 
 08/02/2017 Un artículo del grupo de Francesc Artigas calificado como “popular” por la Web of Science
- 
		
			
			
				
				
			
		
		
CIBERESP		    
 
 07/02/2017 La contaminación procedente del tráfico disminuye la capacidad de atención de los niños a corto plazo
- 
		
			
			
				
				
			
		
		
CIBERBBN		    
 
 07/02/2017 Desarrollan sistemas de bioimpresión 3D y biotintas para la regeneración de cartílago y hueso
- 
		
			
			
				
				
			
		
		
CIBERDEM		    
 
 07/02/2017 Descubren que el ARN no codificante regula la expresión de genes clave en la diabetes
- 
		
			
			
				
				
			
		
		
CIBEREHD		    
 
 07/02/2017 Rafael Bañares, vicedecano de Evaluación de la Calidad e Innovación de la Facultad de Médicina de la Complutense
- 
		
			
			
				
				
			
		
		
CIBERBBN		    
 
 06/02/2017 Luis Liz Marzán elegido miembro de la European Academy of Sciences (EURASC)
- 
		
			
			
				
				
			
		
		
CIBERES		    
 
 06/02/2017 Nueva estrategia para prevenir con vacunas las infecciones respiratorias de adquisición hospitalaria
- 
		
			
			
				
				
			
		
		
CIBEREHD		    
 
 06/02/2017 Primera guía internacional para el abordaje terapéutico de los pacientes con VHC y manifestaciones extrahepáticas con las nuevas terapias AAD
- 
		
			
			
				
				
			
		
		
CIBERFES		    
 
 03/02/2017 Disponibles las presentaciones y vídeos de la jornada de disfagia CIBERFES-CIBEREHD
- 
		
			
			
				
				
			
		
		
CIBEREHD		    
 
 02/02/2017 Una investigación multicéntrica española evalúa la estrategia de suspender el tratamiento anti-TNF en pacientes con enfermedad inflamatoria intestinal
- 
		
			
			
				
				
			
		
		
CIBERFES		    
 
 02/02/2017 España lidera una iniciativa europea sobre prevención de la fragilidad
- 
		
			
			
				
				
			
		
		
CIBERER		    
 
 01/02/2017 La U720 participa en un proyecto de desarrollo de tratamientos para enfermedades raras de depósito lisosomal