Ministerio de Ciencia e Innovación

Noticias

  • CIBERESP
    ModGraProDep: inteligencia artificial y modelización probabilística aplicada a la oncología clínica
    11/06/2020
    ModGraProDep: inteligencia artificial y modelización probabilística aplicada a la oncología clínica
  • CIBERONC
    El desarrollo de los vasos sanguíneos depende del estado de maduración de los pericitos que los rodean
    11/06/2020
    El desarrollo de los vasos sanguíneos depende del estado de maduración de los pericitos que los rodean
  • CIBERER
    La disfunción de las mitocondrias del músculo esquelético contribuye a la obesidad
    08/06/2020
    La disfunción de las mitocondrias del músculo esquelético contribuye a la obesidad
  • CIBERBBN
    Nuevas nanopartículas fluorescentes para ver lo invisible a los ojos
    08/06/2020
    Nuevas nanopartículas fluorescentes para ver lo invisible a los ojos
  • CIBERCV
    Nuevas evidencias relacionan las hormonas de estrés con la progresión de tumores en cáncer de mama
    08/06/2020
    Nuevas evidencias relacionan las hormonas de estrés con la progresión de tumores en cáncer de mama
  • CIBERONC
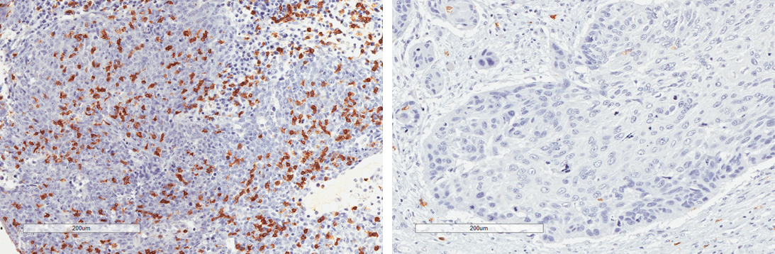
    Demuestran el impacto del infiltrado inmune intratumoral en el pronóstico de carcinoma de cabeza y cuello no relacionado con VPH
    08/06/2020
    Demuestran el impacto del infiltrado inmune intratumoral en el pronóstico de carcinoma de cabeza y cuello no relacionado con VPH
  • CIBERCV
    Niveles bajos de LRP1 podrían prevenir la diabetes y obesidad inducidas por la dieta
    05/06/2020
    Niveles bajos de LRP1 podrían prevenir la diabetes y obesidad inducidas por la dieta
  • CIBERESP
    INMA: “La adherencia a una dieta mediterránea en la primera infancia reduce la incidencia de obesidad a los 8 años”
    05/06/2020
    INMA: “La adherencia a una dieta mediterránea en la primera infancia reduce la incidencia de obesidad a los 8 años”
  • CIBERSAM
    La expresión génica, clave en el estudio de las comorbilidades
    05/06/2020
    La expresión génica, clave en el estudio de las comorbilidades
  • CIBERCV
    Nuevas perspectivas terapéuticas para la hipertensión resistente
    05/06/2020
    Nuevas perspectivas terapéuticas para la hipertensión resistente
  • CIBERER
    Identifican variaciones genéticas familiares que pueden ayudar a mejorar la medicina personalizada en aHUS
    05/06/2020
    Identifican variaciones genéticas familiares que pueden ayudar a mejorar la medicina personalizada en aHUS
  • CIBEROBN
    Descubren la relación entre metabolitos en sangre con la procedencia animal o vegetal de la proteína consumida
    04/06/2020
    Descubren la relación entre metabolitos en sangre con la procedencia animal o vegetal de la proteína consumida
  • CIBER
    Un estudio internacional con participación CIBEROBN y CIBERESP concluye que el nivel de colesterol disminuye en los países occidentales
    04/06/2020
    Un estudio internacional con participación CIBEROBN y CIBERESP concluye que el nivel de colesterol disminuye en los países occidentales
  • CIBERER
    Un nuevo test para una enfermedad metabólica identifica niños que pueden beneficiarse de un tratamiento sencillo
    04/06/2020
    Un nuevo test para una enfermedad metabólica identifica niños que pueden beneficiarse de un tratamiento sencillo
  • CIBERONC
    Una investigación experimental con cultivos 3D desvela un nuevo mecanismo implicado en el desarrollo del cáncer de páncreas y de pulmón
    02/06/2020
    Una investigación experimental con cultivos 3D desvela un nuevo mecanismo implicado en el desarrollo del cáncer de páncreas y de pulmón
  • CIBERBBN
    Identifican cambios en el tejido pulmonar de los fumadores que preceden a la enfermedad mediante análisis de datos
    02/06/2020
    Identifican cambios en el tejido pulmonar de los fumadores que preceden a la enfermedad mediante análisis de datos
  • CIBEREHD
    Muestran el valor pronóstico y el mecanismo de acción del gen miR-93 en el cáncer de páncreas
    02/06/2020
    Muestran el valor pronóstico y el mecanismo de acción del gen miR-93 en el cáncer de páncreas
  • CIBER
    La estrategia de las muñecas rusas para liberar fármacos también es eficaz contra las infecciones causadas por Staphylococcus aureus
    01/06/2020
    La estrategia de las muñecas rusas para liberar fármacos también es eficaz contra las infecciones causadas por Staphylococcus aureus
  • CIBERESP
    Analizan el primer brote de COVID-19 en España y las medidas para controlarlo
    01/06/2020
    Analizan el primer brote de COVID-19 en España y las medidas para controlarlo
  • CIBEROBN
    Hallan potenciales biomarcadores de obesidad en las vesículas extracelulares liberadas por células de grasa
    29/05/2020
    Hallan potenciales biomarcadores de obesidad en las vesículas extracelulares liberadas por células de grasa
  • CIBERFES
    Descubren el papel de la proteína p38MAPK en el envejecimiento de las células madre neurales
    28/05/2020
    Descubren el papel de la proteína p38MAPK en el envejecimiento de las células madre neurales
  • CIBERES
    Desarrollan microarrays para la detección en suero de anticuerpos específicos frente a diferentes serotipos de neumococo
    28/05/2020
    Desarrollan microarrays para la detección en suero de anticuerpos específicos frente a diferentes serotipos de neumococo
  • CIBEREHD
    Proponen la estimulación de la vía sensorial en pacientes post-ictus con disfagia crónica
    28/05/2020
    Proponen la estimulación de la vía sensorial en pacientes post-ictus con disfagia crónica
  • CIBER
    Investigadores del CIBER participan en una iniciativa para la realización de pruebas de diagnóstico de COVID-19 en la UAM, el IIBM y la FPCM
    28/05/2020
    Investigadores del CIBER participan en una iniciativa para la realización de pruebas de diagnóstico de COVID-19 en la UAM, el IIBM y la FPCM